Dentistry Grounded in Trust, Care, and Thoughtful Precision
Tailored dentistry designed around your individual needs. For over 30 years, Keystone Dentistry has helped Indianapolis families achieve healthier, more confident smiles in a comfortable, welcoming environment.
Care That Starts With Listening

Before treatment begins, we take time to understand you. Your concerns, your goals, and your comfort level guide every recommendation we make. By slowing down and listening first, we create care plans that feel personal, clear, and genuinely supportive, so you can move forward with confidence.
Positive, Personalized Care for Every Smile
A Thoughtful Approach to Dentistry

We Start With You

Comfort at Every Step

Honesty, Always

Details Matter
Comprehensive Care, Thoughtfully Delivered

Healthier Smiles,
Whole-Body Care
A care philosophy that considers the full picture of your health—guided by precision, education, and partnership.

Whole-Body Focus
Oral health plays an important role in overall wellness, influencing more than just your smile.
Clinical Precision
Thoughtful planning, advanced training, and experience ensure care that’s accurate and built to last.
Patient Partnership
We involve you at every stage, helping you make informed decisions with confidence.
What Sets Our Care Apart
A thoughtful, patient-centered approach that blends clinical expertise, clear communication, and comprehensive care designed to support long-term health and confidence.

Patient-First Care
Advanced Care Made Clear
Simplifying Complex Care

Complete Care, One Place
Experienced, Compassionate Care - - Working Together

Dr. Nicholas Kitcoff

Dr. Wayne Kinney

The Team Behind
Your Care
Thoughtful Presence
Care is never rushed. We take time to understand, explain, and respond—so each visit feels considered, not transactional.
Coordinated Support
Behind every appointment is a team working in sync, ensuring your experience is smooth, consistent, and centered on your comfort.
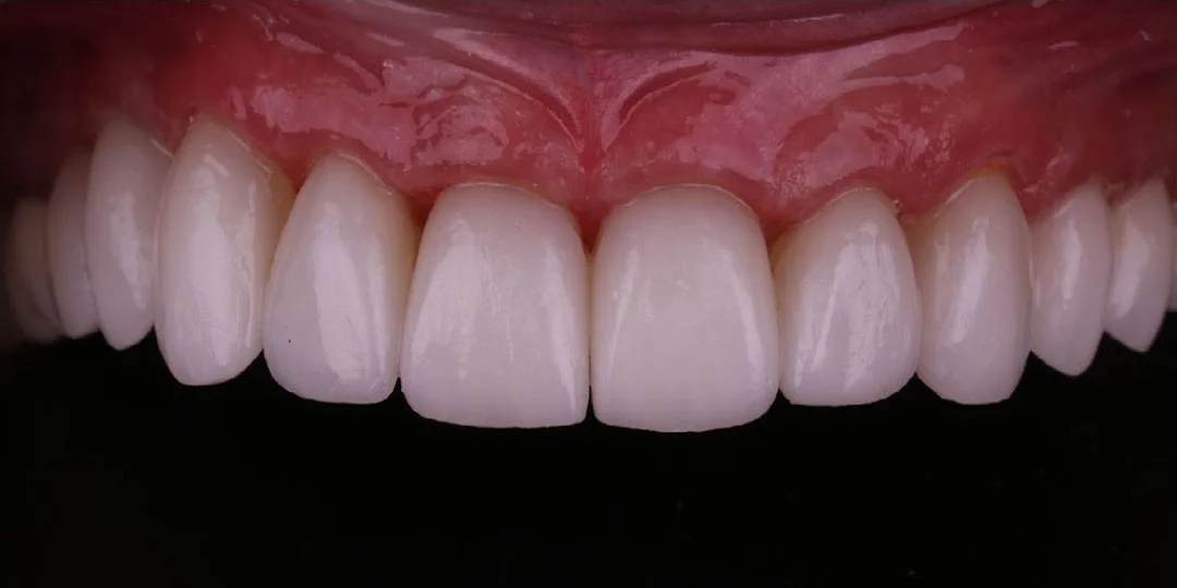
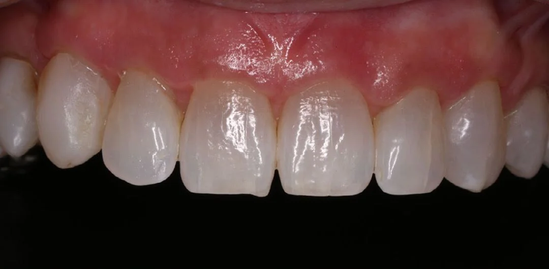
Care That Makes a Meaningful Difference
What Our Patients Say
We’re Glad You’re Here
Whether it’s your first visit or you’re looking for a new dental home, we want getting started to feel simple and stress-free. Our team is here to guide you through every step and make your experience comfortable from day one.


A Calm, Comfortable Space Designed Around You





Conveniently Located, Easy to Find

Thu: 7:40am – 4:00pm








































